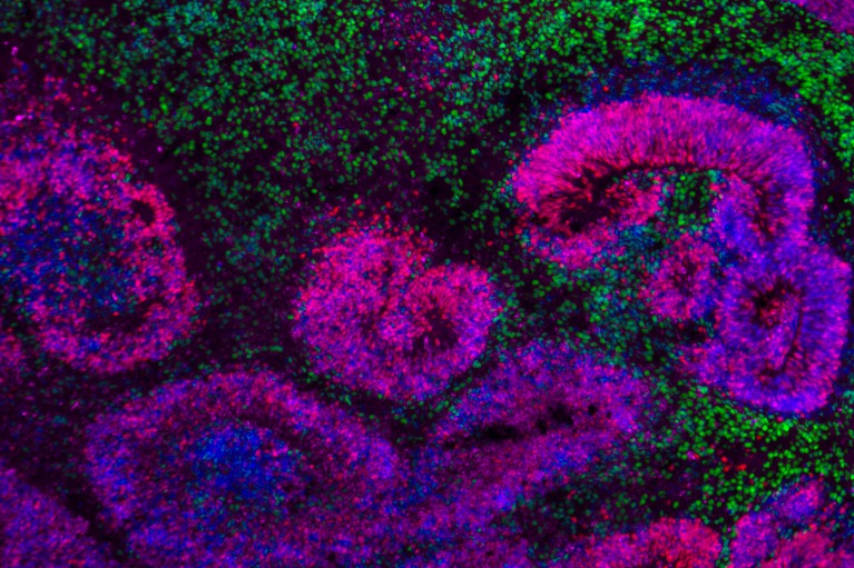
Nature – A collection of studies that chart how mammalian brain cells grow and differentiate is a ‘very valuable’ tool for neuroscientists.
Source: First-ever atlas of brain development shows how stem cells turn into neurons
Nature – A collection of studies that chart how mammalian brain cells grow and differentiate is a ‘very valuable’ tool for neuroscientists.
Source: First-ever atlas of brain development shows how stem cells turn into neurons